気がつくともう10月です。
10月といえばHalloweenですね。
ということで、患者さんの控室に以前に作ったペーパークラフトの人形たちを飾っておきました。
これ結構気に入っているんですよね。
3つ飾るといい感じでしょ?
さて、当医院で力を入れている治療方法「ダイレクトボンディング」の治療例の紹介です。
何度もこのブログに登場しているのでしつこい感じもするかもしれませんがお付き合いください。
「ダイレクトボンディング」は歯と同じ色の樹脂コンポジットレジン(CR)を歯に直接盛ることで歯の形を変えていく審美歯科治療方法です。
写真を見てもらえればわかると思いますが、結構なスペースが空いています。
真ん中から2番目の歯(側切歯)が一般的な大きさよりかなり小さい(矮小歯)のが理由の一つですね。
かなり大きなスペースが空いているので、初診時に矯正して、それからダイレクトボンディングや被せものなどの歯の形を変える治療をすることをおすすめしました。
というのも、「ダイレクトボンディング」や被せもの治療などは、歯の形はある程度変えれますがやはり限界はあります。
今回のような歯の隙間(歯間離開)を埋めるとなるとその分歯が大きくなるからです。
しかもレジンで治療となると強度的にも不安が出てきます。
ということで、矯正をおすすめしたのですが、費用や時間的な関係でなかなか難しいということでした。
「ダイレクトボンディング」のみでは、かなり難しく、完璧には無理ですよということを説明した上で、デモを初診時のカウンセリングにて行いました。
光を当てないと硬化せず簡単に外すことが出来るのでそれを利用して、実際に歯に盛ることで治療後のイメージを患者さんと共有することが出来ます。
デモは硬化させないので、単色になることと、時間とともに形が崩れてくることがデメリットですが、治療後のイメージを伝えるには非常に有益だと思います。
患者さんと色々相談してこうしよう、これは出来ない、ここはこうして欲しいなどと色々決めていくことが出来ます。
今回のような完璧が出来ない場合は特に大切だと思います。
デモを行って患者さんもご家族も、これなら良いと納得されたので、治療のアポイントを取らせてもらいました。
そして患者さんからなかなかユニークなリクエストも追加で頂きました。
「左側は八重歯に出来ないですか?」とのこと。
難易度がまた上がりますが、本番の時に色々頑張ってみますと伝えてカウンセリング終了となりました。
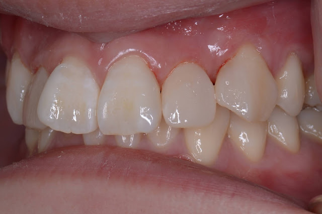
さて、実際の治療後の写真です。
治療時間約2時間ちょっとです。
レジンを盛った部分は、右3番の近心 右2番の遠心 右1番の遠心
左1番の遠心 左2番の遠心 左3番の近心です。
左右の2番は前面をほとんどレジンが覆っています。
治療直後なので歯肉から少し出血していますが、すぐに止まります。
左3番はかなり大きくなりましたが、かなり口角を上げて横から見ない限りは見えないので目立たないです。
こんな感じで八重歯に見えるようにしています。
患者さんも気に入ってくれたようです。
結構こういうのは難しいですね。
治療を行ってから半年近く経ちましたが、欠けたりのトラブルもないようです。
今回の治療のように、条件によっては完璧が出来ない場合もあります。
そこで必要なのは患者さんとの治療前の打ち合わせです。
どこまで治療をするのか、費用・時間をかけるのか、どこで妥協するのか、などです。
それぞれの治療のメリット・デメリットを踏まえて決めていけたら良いなぁと個人的には思っています。
そのためには、とにかく時間が必要です。
今回はカウンセリングに2時間以上かけました。
「治療前の説明が不十分だと、良い治療しても満足は得られない」
と個人的には思っています。
当医院の名前は「スローデンタルクリニック」です。
名前の通りゆっくりやっていますので、時間をかけて相談したい人は気軽に連絡をお願いします。
公式サイトの予約フォームからお願いします。
記事が面白かったり、気に入った場合は「いいね!」して頂けるとありがたいです。
「完全予約制」「自費診療専門」「貸し切り診療」「マイクロスコープ設置」
広島県福山市駅家町法成寺
「SlowDentalClinic」
![]() |
| 目立たない矯正 「マウスピース矯正」 |
![]() |
| ホワイトスポット治療 「Icon アイコン」 |
![]() |
| 変色した歯を白くする 「ウォーキングブリーチ」 |
![]() |
| 歯肉のホワイトニング 「ガムピーリング」 |
![]() |
| すきっ歯を削らず治す 「ダイレクトボンディング」 |
![]() |
| 自宅で歯を白くする 「ホームホワイトニング」 |
![]() |
| 歯茎の形を整える 「歯肉整形」 |
200







