金の値段がここ数年で高騰しているらしいです。
当医院が開業した9年前の時と比べると現在は倍の値段になっていました。
ということで、当医院のゴールドの被せ物、詰め物の値段を改定させて頂きます。
改定前
ゴールドインレー・・・1歯につき 80,000円
ゴールドFMC(FCK)・・・1歯につき 90,000円
改定後
ゴールドインレー・・・1歯につき 90,000円
ゴールドFMC(FCK)・・・1歯につき 100,000円
ゴールドFMC(FCK)・・・1歯につき 100,000円
となります。
両方とも1万円値上げさせて頂きます。
よろしくお願いします。
最近の物価高もありますので、他の治療金額も、もしかしたら改定するかもしれません。
さて、治療例の紹介です。
今回は「ダイレクトボンディング」で、すきっ歯を目立たなくした例です。
「ダイレクトボンディング」は歯と同じ色の樹脂コンポジットレジン(CR)を直接歯に盛ることで審美的な治療をする治療方法です。
隙間に盛るだけなので、歯を削ることなく治療できますので、自分の歯へのダメージは最小にできると思います。
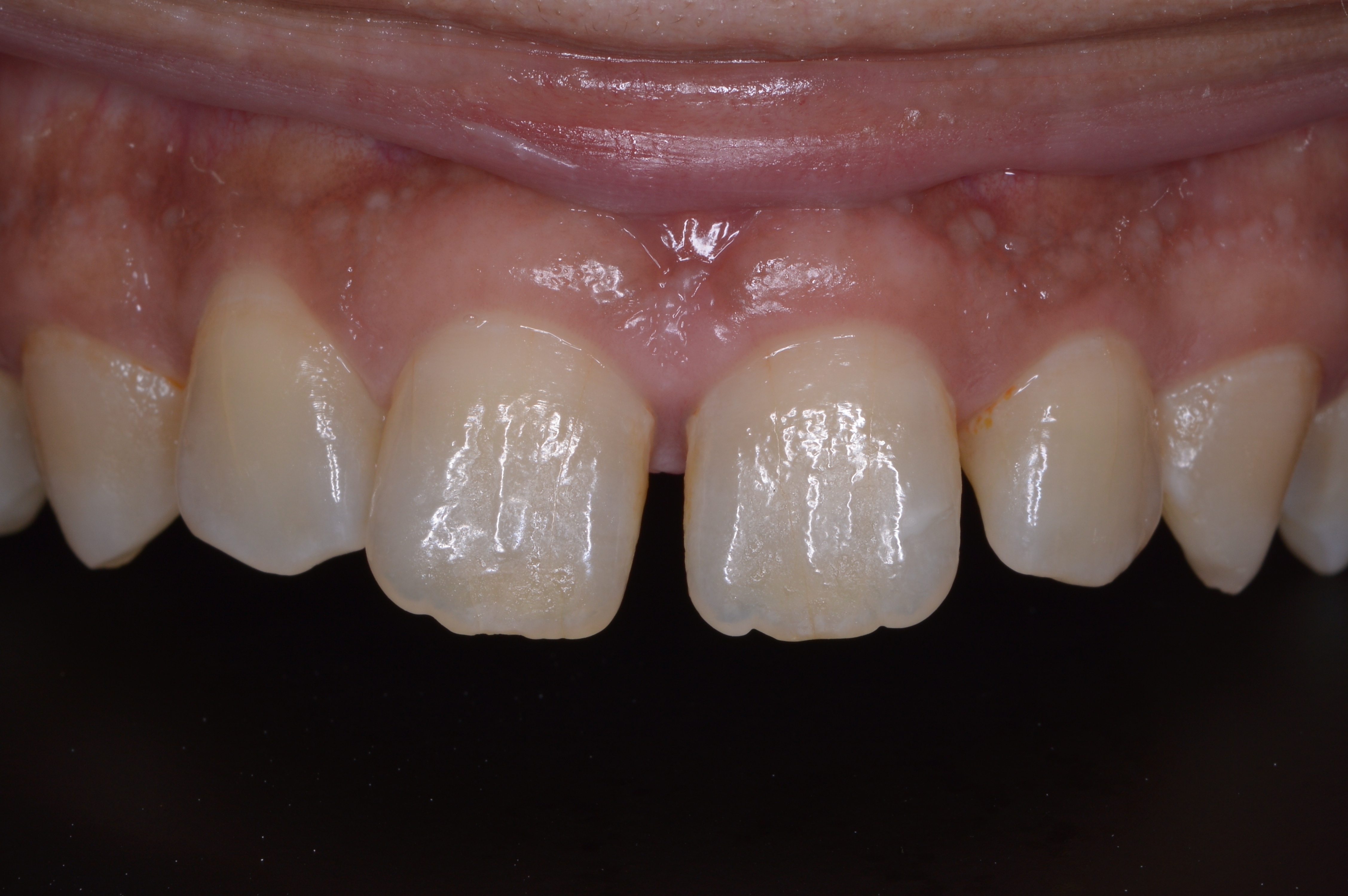
治療前の写真です。
上の歯の真ん中とその隣の2箇所に目立つ隙間があり、当医院に相談されました。
初回は治療内容の説明、カウンセリングと実際にレジンを盛ってみてデモを行っています。
デモをすることで治療後の雰囲気を実際に体感してもらっています。
治療費等の説明をして、実際に治療する予約をお取りしました。
治療後の写真です。
当日は、ラバーダムをして、しっかりと精密な治療をする環境を作ります。
削ったりすることは無いので麻酔も必要はありません。
約2時間程度の治療となります。
結構ナチュラルに治せたかなと思います。
さて、
「ダイレクトボンディング」ですきっ歯の治療をする時の注意点は、歯が大きくなるということです。
隙間を埋めるので当たり前ですよね。
なので、必ずデモをしてもらうことをおすすめします。
デモをすることで、どれくらい歯が大きくなるのか実際に見れますからね。
せっかく隙間がなくなっても、歯が大きくなったことが気になっては意味がありませんからね。
あとは、「ダイレクトボンディング」は治療する歯医者さんのスキルとセンスが結構影響します。
なので、治療する時はしっかりと歯医者さんを選びましょう。
当医院のスキルとセンスはこんな感じですので、相談してみたいと思った人は初診予約フォームからお願いします。
「ダイレクトボンディング」についてはここに詳しく書いていますので読んでみてください。
記事が面白かったり、気に入った場合は「いいね!」して頂けるとありがたいです。
「完全予約制」「自費診療専門」「貸し切り診療」「マイクロスコープ設置」
広島県福山市駅家町法成寺
「SlowDentalClinic」
![]() |
| 目立たない矯正 「マウスピース矯正」 |
![]() |
| ホワイトスポット治療 「Icon アイコン」 |
![]() |
| 変色した歯を白くする 「ウォーキングブリーチ」 |
![]() |
| 歯肉のホワイトニング 「ガムピーリング」 |
![]() |
| すきっ歯を削らず治す 「ダイレクトボンディング」 |
![]() |
| 自宅で歯を白くする 「ホームホワイトニング」 |
![]() |
| 歯茎の形を整える 「歯肉整形」 |
266








0 件のコメント:
コメントを投稿