やっと最近、朝夕が涼しくなってきましたね。
ということで、最近は庭の草取りや剪定をしています。
しかし、これが肉体的に大変で非常に疲れます。
しかも、雨が降ると2週間ほどでまた生えてくるので、精神的にもつらいです。
でも、きれいになった庭を見るとちょっとうれしくなるので頑張りたいとおもいます。
さて、恒例の治療例紹介です。
さて、恒例の治療例紹介です。
今回は、当医院で力を入れている治療「マウスピース矯正」です。
「マウスピース矯正」は、透明なフレームを装着することで歯並びを改善する矯正治療です。
目立ちにくく、取り外しができるので食事や歯磨きがし易いという利点があります。
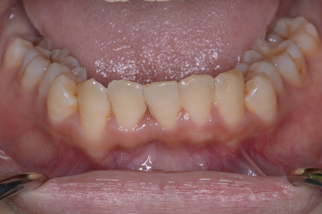
治療前の写真です。
今回の患者さんは上下の前歯の歯並びが気になって相談されました。
上下とも歯に重なりがあります。
今回は下の歯の一本を抜歯しています。(右下1です)
治療後の写真です。
治療期間は1年です。
下顎を一本抜歯していますが、一般の人が見て気がつくことは無いと思います。
現在の当医院でのマウスピース矯正の治療技術はこんな感じです。
「マウスピース矯正」はワイヤー矯正と違ってすべての歯並びで対応できるわけではありませんが、患者さんにとって非常にメリットのある治療方法だと思います。
現在歯並びで悩まれている方は気軽に相談してください。
詳しくはこちらを参考にしてください。
記事が面白かったり、気に入った場合は「いいね!」して頂けるとありがたいです。
「完全予約制」「自費診療専門」「貸し切り診療」「マイクロスコープ設置」
広島県福山市駅家町法成寺
「SlowDentalClinic」
![]() |
| 目立たない矯正 「マウスピース矯正」 |
![]() |
| ホワイトスポット治療 「Icon アイコン」 |
![]() |
| 変色した歯を白くする 「ウォーキングブリーチ」 |
![]() |
| 歯肉のホワイトニング 「ガムピーリング」 |
![]() |
| すきっ歯を削らず治す 「ダイレクトボンディング」 |
![]() |
| 自宅で歯を白くする 「ホームホワイトニング」 |
![]() |
| 歯茎の形を整える 「歯肉整形」 |
232








0 件のコメント:
コメントを投稿